牛皮癣的治疗方法有哪些呢?儿童得上牛皮癣的人已经越来越多了,但是大部分的人以及家长对儿童牛皮癣的治疗还存在一定的疑问,这也给孩子的健康造成了一定的伤害,同时也给家长造成了很大的影响,那么要想及时的控制儿童得上这种病,发现症状和病因是很重要的,另外,治疗的方法也是相当的关键的,那么此病的治疗方法有哪些呢?郑州牛皮癣治疗医院为大家讲解。

》》》》》》推荐阅读:导致牛皮癣严重的原因有哪些《《《《《《
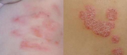
牛皮癣的治疗方法有哪些呢
一、目前,通过医学上的临床上的统计得知,很多孩子得上这个病,不是大意原因造成的,很多情况下是外在环境和内在心理的双重作用下导致的。牛皮癣又叫银屑病,患病儿童的比率正在逐渐增加,威胁到了很多孩子的健康成长。主要的患病原因还是孩子的免疫力低下导致的,因此提醒家长朋友们,预防是关键。
二、再有,很多疾病的人,由于外界的因素也会造成一定的影响的,也会造成此病多发,由于现在发展的快速进行,导致我们的生活环境长期处在被污染的情况小,环境质量越来越差。很多的地方,由于环境污染过于严重,而造成了皮肤疾病的高发。在孩子的成长过程中,一定要做好相关的预防工作,帮助孩子养成良好的生活习惯,勤洗澡,勤更换床单被罩。
三、另外,在儿童时期,孩子们证实成长发育的时期,一定要注意得上这个病,如果不幸感染上了该病,那将对他们的身心发展都带来巨大的影响。在研究中,发现儿童患者中,很明显的女孩多于男孩,而且大多是由于外在感染所导致的疾病发生。医生建议,父母一定要做好孩子的保健预防工作,还应当谨记儿童牛皮癣早发现早治疗。
牛皮癣的治疗方法有哪些呢?上述就是儿童牛皮癣的治疗上的相关的分析,望家长们要时刻注意孩子们的身体健康,要是发现有此病的症状出现,请及时进行治疗,可减轻病人们的痛苦,祝您早日康复。
